 |
QQ蛋 |
發表日期: 2013-12-16 |
|
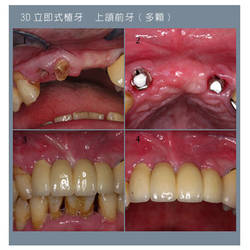
| 黃經理植牙10大保證 一次植牙終身享用 無痛式 免開刀 人工植牙 1.最紮實的訓練-美國紐約大學人工植牙碩士,全世界僅兩百人。 2.最完善的治療-微電腦 3D 植牙評估系統,分析骨頭高度密度。 3.最無痛的治療-使用無針頭塗抹冷凍式麻醉,遠離針刺的恐懼。 4.最微小的傷口-免開刀、不需翻瓣、不用縫線,約米粒般大小。 5.最短植牙時間-每支植體約 3 至 5 分鐘即可完成,傷口恢復快。 6.最強的咬合力-植體植入時可以裝上假牙,享受美食不須等待。 7.最先進的科技-首創全口多支植體植入及假牙完成只需一小時。 8.最頂尖的技術-立即拔牙、立即植牙、立即假牙、技術全方位。 9.最良心的設備-採植牙發明人頂級廠牌,使用植牙無菌手術室。 10.最長久的保護-備有長期保證保固卡,品質有口碑,值得信賴。 專業的技術、潔淨優雅的候診區、和藹親切的問候,是本診所經營不變的理念。 |
|
|
 |
| |
 |
欣欣 |
發表日期: 2011-09-01 |
|
| 人工植牙 齒顎矯正 全口重建 牙周病治療 美容牙科 冷光美白 一般牙科 全方位齒科服務 |
|
|
 |
| |
 |
美美 |
發表日期: 2011-08-05 |
|
| 人工植牙 齒顎矯正 全口重建 牙周病治療 美容牙科 冷光美白 一般牙科 全方位齒科服務 |
|
|
 |
| |
 |
wini |
發表日期: 2009-05-15 |
|
| 環境很乾淨 |
|
|
 |
| |
 |
饅頭 |
發表日期: 2009-04-09 |
|
| 醫生很幽默不會讓你很緊張 |
|
|
 |
| |
 |
愛莎 |
發表日期: 2009-03-12 |
|
| 請問下面的MONO你的美白做多少錢呢?? |
|
|
 |
| |
 |
大象 |
發表日期: 2009-02-20 |
|
| 我在嘉義做假牙中間一顆旁邊兩顆輔助總共3顆1萬8,這樣算不算貴呀!! |
|
|
 |
| |
 |
mono |
發表日期: 2008-12-17 |
|
| 我是在這間做牙齒美白的,效果還不錯,價位也很合理。 |
|
|
 |
| |
 |
扯蛋 |
發表日期: 2008-12-09 |
|
| 黃經理植牙10大保證 一次植牙終身享用 無痛式 免開刀 人工植牙 1.最紮實的訓練-美國紐約大學人工植牙碩士,全世界僅兩百人 |
|
|
 |
| |
 |
快樂的一天 |
發表日期: 2008-11-05 |
|
| 請問冷光美白的費用怎麼算??做一次就會白了嗎??還是需要幾次的療程?? |
|
|
 |
| |
 |
momo |
發表日期: 2008-10-27 |
|
| 護士跟醫生都很親切喔!!!一直跟我說不要緊張,但是我還是好怕,過程中確實不會痛,但是麻藥退了還是會痛的!! |
|
|
 |
| |