秀生活會員  
 縣市  
商家首頁    |   商品簡介    |   店面景視    |   營業訊息    |   交通指南    |   推薦好友
QQ蛋 - 2013-12-16
黃經理植牙10大保證 一次植牙終身享用 .....
欣欣 - 2011-09-01
人工植牙 齒顎矯正 全口重建 牙周病治療.....
小香 - 2008-11-28
黃經理牙醫診所 - Yahoo!奇摩生活+
小香 - 2008-11-28
拔牙記。

 

 

[ 本日瀏灠人數 ] 23
[ 累積瀏灠人數 ] 327761
[ 本日瀏灠頁數 ] 23
[ 累積瀏灠頁數 ] 292644
本商品瀏覽人數:10532
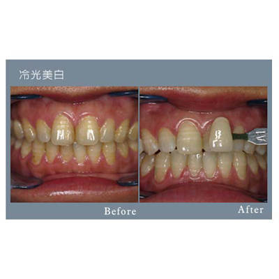
牙齒美白-冷光美白
 
‧類別:
2008-10-09
‧地點:台中市
              美容牙科-全瓷牙冠
■ 患者為一名中年婦女,隨著年紀出現牙齒泛黃的情形,並且平時有喝茶及咖啡的習慣,因為不滿意自己的黃板牙,故前來求診。 ■ 經過全口冷光美白之後,牙齒顏色恢復至 "A1", 即牙科比色板中最白的色階。
牙齒變色的原因 在討論牙齒變色之前,首先,必須先要有一個概念,那就是健康的牙齒應該是略帶一點黃色的白,並非所謂的「全白」色。而一般來說,牙齒變色,可分為外在染色及內在染色兩種: (1). 外在染色:比方嚼檳榔、抽煙、喝茶、咖啡、可樂, 咖哩 或是使用某些種類的漱口藥水所導致 牙齒變色 的結果。 (2). 內在染色:先天性牙釉質或牙本質發育不全的疾病、外力撞擊導致牙髓壞死、齲齒、補綴物變色、飲水中含氟過量以及服用某些抗生素如四環黴素等都會導致牙齒變色。 牙齒美白的種類 (1).居家牙齒美白:由牙醫師替患者量身訂做個人牙托,由患者將美白劑塗在牙托的唇側,每天戴6-8小時,持續4-6週;它的特色是藥劑濃度低,但所需時間較長。 (2).冷膠牙齒美白 : 第一次約診時取得患者的上、下牙模,檢查患者口內牙齒健康狀態,以超音波洗牙去除牙菌斑及牙垢,記錄患者未美白前的牙齒色階,並了解患者對美白的期待。第二次約診時將牙齒經噴砂拋光後,再將美白劑擠壓入事先作好的美白托中,再置入患者口腔內,30~60分鐘即可完成美白。 (3).冷光牙齒美白與雷射美白: 其實冷光與雷射美白的基本原理相同,只是光源跟波長不同 。而冷光牙齒美白是藉由低溫冷光來催化高濃度的過氧化氫(H2O2),利用二極體雷射光照射,將牙齒表面的琺瑯質細孔擴大後,讓美白劑能夠進入牙齒的深層去除色素。 再利用最新的藍光美白均勻照射40至60分鐘左右,促進氧化還原反應,達到快速美白的效果。 美白效果可以維持多久?如何維護? 一般而言,美白效果約可維持 2~3年。但任何美白都需要適當維護,效果才能持久。 (1). 可使用居家美白組及美白牙膏、漱口水來延長美白效果。 (2). 盡量避免牙齒染色的嗜好,如抽煙、嚼檳榔、喝咖啡、茶、可樂等,以上這些嗜好品與飲料都會縮短美白時效,若非要飲用上述之中的飲料請以吸管飲用。 (3). 定期由牙醫師檢查及清潔。
台中市南屯區大墩路256號 / 電話:04-24711567
 台中辦公家具  禮車  台南婚禮樂團  台南銀樓
 台南齒列矯正  好康  種睫毛  台南網站設計
 當舖  台南鋁門窗  系統家具工廠  防霾紗窗
 OA辦公家具  室內設計  防霾紗窗  台南水銀眼鏡
 韓文能力檢定  台南銀樓  植睫毛  台南系統櫃
設為首頁    |    加入最愛    |    連絡我們    |    會員中心    |    廣告刊登    |    招商    |    秀生活商家資訊網   |    網頁設計
歐普達資訊有限公司 版權所有
本網站所有內容及圖片均不得以任何型式, 予以重製或傳送
© Copyright 2008 OHprada Online Corporation InfoSys All Rights Reserved.
商品大圖