關閉廣告 [X]
創業加盟
小葉火鍋
 
秀生活會員  
 縣市  
商家首頁    |   商品簡介    |   店面景視    |   營業訊息    |   交通指南    |   推薦好友
QQ蛋 - 2013-12-16
黃經理植牙10大保證 一次植牙終身享用 .....
欣欣 - 2011-09-01
人工植牙 齒顎矯正 全口重建 牙周病治療.....
小香 - 2008-11-28
黃經理牙醫診所 - Yahoo!奇摩生活+
小香 - 2008-11-28
拔牙記。

 

 

[ 本日瀏灠人數 ] 2
[ 累積瀏灠人數 ] 327874
[ 本日瀏灠頁數 ] 2
[ 累積瀏灠頁數 ] 292757

 

 

黃經理牙醫診所
地址:台中市南屯區大墩路256號
電話:04-24711567
營業時間:星期一 ~星期六
公休時間:星期日、例假日休診
官方網站:http://www.nyu.com.tw/index.htm
黑米 MyShare YAHOO Google
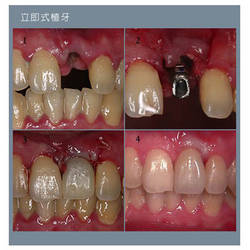
黃經理植牙10大保證 一次植牙終身享用 無痛式 免開刀 人工植牙 1.最紮實的訓練-美國紐約大學人工植牙碩士,全世界僅兩百人。 2.最完善的治療-微電腦 3D 植牙評估系統,分析骨頭高度密度。 3.最無痛的治療-使用無針頭塗抹冷凍式麻醉,遠離針刺的恐懼。 4.最微小的傷口-免開刀、不需翻瓣、不用縫線,約米粒般大小。 5.最短植牙時間-每支植體約 3 至 5 分鐘即可完成,傷口恢復快。 6.最強的咬合力-植體植入時可以裝上假牙,享受美食不須等待。 7.最先進的科技-首創全口多支植體植入及假牙完成只需一小時。 8.最頂尖的技術-立即拔牙、立即植牙、立即假牙、技術全方位。 9.最良心的設備-採植牙發明人頂級廠牌,使用植牙無菌手術室。 10.最長久的保護-備有長期保證保固卡,品質有口碑,值得信賴。 專業的技術、潔淨優雅的候診區、和藹親切的問候,是本診所經營不變的理念。 本診所耗資鉅資引進最先進的醫療儀器設備,提供患者最完善的療程技術,一人一套無菌器械,杜絕AIDS、肝炎等一切傳染,以及引進最新的電腦口內攝影系統,為您作最精確的診斷,以最先進的設備,才能實現每一個追求健康、美麗笑容的夢想。 本院特色 : ■ 醫學中心級無塵無菌手術室 全國唯一採用 ……….. 讓您在最安全的環境下,接受最先進的人工植牙治療。 ■ 全口數位化X光照攝 本診所全面使用數位化 X 光機,可以將您的口腔狀況立即顯像,幫助醫師做更精確的診斷,並且輻射劑量只有傳統的 1/10 ,讓您更安心放心。 ■ 全面感染控制,杜絕交叉感染 當您一坐上診療椅,我們會為您進行整個診療區的感染控制,並且使用一人一套醫療器械,讓您免除交叉感染的疑慮。 ■ 名家千萬裝潢 耗資千萬的現代化裝潢空間,搭配優雅柔和的音樂,讓您置身於輕鬆無壓力的高雅醫療環境。 ■ 數位化教育 專業的治療項目解說 , 配合動畫圖解 , 讓您輕鬆了解牙科醫療 。

人工植牙 齒顎矯正 全口重建 牙周病治療 美容牙科 冷光美白 一般牙科 全方位齒科服務

QQ蛋 發表日期: 2013-12-16
  黃經理植牙10大保證 一次植牙終身享用 無痛式 免開刀 人工植牙 1.最紮實的訓練-美國紐約大學人工植牙碩士,全世界僅兩百人。 2.最完善的治療-微電腦 3D 植牙評估系統,分析骨頭高度密度。 3.最無痛的治療-使用無針頭塗抹冷凍式麻醉,遠離針刺的恐懼。 4.最微小的傷口-免開刀、不需翻瓣、不用縫線,約米粒般大小。 5.最短植牙時間-每支植體約 3 至 5 分鐘即可完成,傷口恢復快。 6.最強的咬合力-植體植入時可以裝上假牙,享受美食不須等待。 7.最先進的科技-首創全口多支植體植入及假牙完成只需一小時。 8.最頂尖的技術-立即拔牙、立即植牙、立即假牙、技術全方位。 9.最良心的設備-採植牙發明人頂級廠牌,使用植牙無菌手術室。 10.最長久的保護-備有長期保證保固卡,品質有口碑,值得信賴。 專業的技術、潔淨優雅的候診區、和藹親切的問候,是本診所經營不變的理念。
 
欣欣 發表日期: 2011-09-01
  人工植牙 齒顎矯正 全口重建 牙周病治療 美容牙科 冷光美白 一般牙科 全方位齒科服務
 
美美 發表日期: 2011-08-05
  人工植牙 齒顎矯正 全口重建 牙周病治療 美容牙科 冷光美白 一般牙科 全方位齒科服務
 
wini 發表日期: 2009-05-15
  環境很乾淨
 
饅頭 發表日期: 2009-04-09
  醫生很幽默不會讓你很緊張
 
愛莎 發表日期: 2009-03-12
  請問下面的MONO你的美白做多少錢呢??
 
大象 發表日期: 2009-02-20
  我在嘉義做假牙中間一顆旁邊兩顆輔助總共3顆1萬8,這樣算不算貴呀!!
 
mono 發表日期: 2008-12-17
  我是在這間做牙齒美白的,效果還不錯,價位也很合理。
 
扯蛋 發表日期: 2008-12-09
  黃經理植牙10大保證 一次植牙終身享用 無痛式 免開刀 人工植牙 1.最紮實的訓練-美國紐約大學人工植牙碩士,全世界僅兩百人
 
快樂的一天 發表日期: 2008-11-05
  請問冷光美白的費用怎麼算??做一次就會白了嗎??還是需要幾次的療程??
 
momo 發表日期: 2008-10-27
  護士跟醫生都很親切喔!!!一直跟我說不要緊張,但是我還是好怕,過程中確實不會痛,但是麻藥退了還是會痛的!!
 
 
  小香 發表日期: 2008-11-28
  推薦 黃經理牙醫診所 - Yahoo!奇摩生活+
  http://tw.lifestyle.yahoo.com/biz.html?bizid=f886818a82dd3557
 
  小香 發表日期: 2008-11-28
  推薦 拔牙記。
  http://www.wretch.cc/blog/kazakh/11934173
 
  小香 發表日期: 2008-11-28
  推薦 赫!! 拔智齒~
  http://www.wretch.cc/blog/garyhua/6398719
 
  小香 發表日期: 2008-11-28
  推薦 含淚看牙醫
  http://www.wretch.cc/blog/mabi77/20577289
 台南民宿  台南植牙  南投家具  台南銀樓
 防霾紗窗  台南鋼琴教學  台南民宿  二手家具
 台中清潔公司  甜點  台中系統廚具  台南住宿
 廚具  台南鋼琴教學  台南婚戒  男仕繡眉
 高雄專利  台南禮服出租  台南茶葉代客包裝  南投廚具推薦
設為首頁    |    加入最愛    |    連絡我們    |    會員中心    |    廣告刊登    |    招商    |    秀生活商家資訊網   |    網頁設計
歐普達資訊有限公司 版權所有
本網站所有內容及圖片均不得以任何型式, 予以重製或傳送
© Copyright 2008 OHprada Online Corporation InfoSys All Rights Reserved.