秀生活會員  
 縣市  
商家首頁    |   商品簡介    |   店面景視    |   營業訊息    |   交通指南    |   推薦好友
QQ蛋 - 2013-12-16
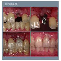
黃經理植牙10大保證 一次植牙終身享用 .....
欣欣 - 2011-09-01
人工植牙 齒顎矯正 全口重建 牙周病治療.....
小香 - 2008-11-28
黃經理牙醫診所 - Yahoo!奇摩生活+
小香 - 2008-11-28
拔牙記。

 

 

[ 本日瀏灠人數 ] 5
[ 累積瀏灠人數 ] 328048
[ 本日瀏灠頁數 ] 5
[ 累積瀏灠頁數 ] 292932
本商品瀏覽人數:10725
美容牙科-全瓷牙冠
 
‧類別:
2008-10-09
‧地點:台中市
■ 患者為一名年輕女性,因外傷而撞斷門齒,影響外觀。 ■ 至本診所製作全瓷牙冠,恢復其外觀,全瓷牙冠完全由陶瓷燒製而成,與自然牙極為相似, 美觀且自然。
何謂美容牙科 ? 牙齒的潔白亮麗與工整對稱乃至於整體面貌所呈現出來給人們的感覺,早已被廣泛的重視與認同。在這大環境的氛圍中,美容牙科隨著世界潮流因應而生了。 美容牙科的範圍 美容牙科泛指用以改善牙齒、上下顎及面部位置與對稱的治療、技能與技術,以改善原先結構之不良觀瞻及功能,如門牙有縫,牙齒破損、暴牙,齒列不正,或是牙齒顏色太黃,太黑 ....... 這些特別注重牙齒的顏色和形狀之牙醫學上的治療、技能與技術、都可廣泛歸在美容牙科之下,其大致可分三大項目。 (1) 膺復整形方面:其包含全瓷牙冠 、 瓷牙貼片 、 瓷塊填補........等等。 (2) 牙周牙齦整形方面:其包含牙齒增生術、齒槽脊整形術......等等。 (3) 牙齒美白方面:其包含居家美白、 冷膠美白 、冷光美白、雷射美白 ......等等。 全瓷牙冠 : ■ 全瓷牙冠是什麼 ? 一般的假牙,雖然外面是陶瓷燒製,但是裡面仍是由金屬製成。而全瓷牙冠完全由陶瓷燒製而成,美觀又自然,極適合前牙的假牙製作. ■ 傳統牙冠的缺點? 傳統牙冠內層是金屬,使得牙齦邊緣常因金屬透射出來而顯得牙齦有暗色的陰影,另外,金屬所釋放的離子也很容易造成牙齦的染色,極不美觀。並且傳統牙冠外層的陶瓷是比較不透明的,因為內層的金屬顏色很深,無法顯現與自然牙相同的透明度,這些都是造成做出來的假牙不夠美觀。 ■ 全瓷牙冠的優點? 全瓷牙冠完全不含金屬,所以不會造成牙齦有暗色陰影或是牙齦染色,另外,全瓷牙冠可以達到極佳的透明度,與真牙極為相近,既自然又美觀。 陶瓷貼片 ■ 什麼是陶瓷貼片 ? 陶瓷貼片顧名思義就是一片薄薄的陶瓷,它可以黏貼在牙齒的外表,改善牙齒不完美的部分。 ■ 陶瓷貼片可以用在什麼地方 ? 陶瓷貼片可以用來改善前牙的染色情況,例如四環素染色的牙齒,或是前牙有輕微的不整齊或門縫過大之情形,都可以用陶瓷貼片來改善。 ■ 陶瓷貼片有什麼優點 ? 陶瓷貼片只需要修磨少許的齒質,便可以利用陶瓷貼片來達到更美觀的牙齒。 電腦鑲瓷 ■ 何謂電腦鑲瓷 ? 就是一塊可以符合您的蛀牙窩洞大小的瓷塊 ,用來做為較大的蛀洞之填補。 ■ 電腦鑲瓷與傳統的填補材有何不同 ? 傳統的填補材會有收縮的缺點,而使得填補材與牙齒之間產生縫隙,讓細菌有機可乘 ,而造成二次蛀牙, 並且傳統的填補材強度不足,如果使用在較大的蛀洞,容易有填補材破裂的情形 。另外傳統的填補材顏色無法完全符合您的牙齒色澤,美觀上較為不足。 電腦鑲瓷經由醫師為您的蛀洞精確的取模後,送至技工燒製,可以緊密的與您的蛀洞結合,不容易造成二次蛀牙,並且陶瓷的強度足夠,可以抵抗咬合壓力,極適合使用於較大的蛀洞,在顏色方面,瓷塊更可以依照您的牙齒色澤而調配,是一種強度夠又兼具美觀的填補材料。
台中市南屯區大墩路256號 / 電話:04-24711567
 辦公家具  台中環境消毒  婚禮樂團  台北美食
 滿月油飯推薦  台南商標  高周波洗水管  冷凍貨櫃
 甜點  PM2.5  遊學團  台南婚戒
 日月潭旅遊  室內設計  台南銀樓推薦  防霾紗窗
 台南鑽戒  台南住宿  台中清潔公司  新娘秘書
設為首頁    |    加入最愛    |    連絡我們    |    會員中心    |    廣告刊登    |    招商    |    秀生活商家資訊網   |    網頁設計
歐普達資訊有限公司 版權所有
本網站所有內容及圖片均不得以任何型式, 予以重製或傳送
© Copyright 2008 OHprada Online Corporation InfoSys All Rights Reserved.
商品大圖