秀生活會員  
 縣市  
商家首頁    |   商品簡介    |   店面景視    |   營業訊息    |   交通指南    |   推薦好友
QQ蛋 - 2013-12-16
黃經理植牙10大保證 一次植牙終身享用 .....
欣欣 - 2011-09-01
人工植牙 齒顎矯正 全口重建 牙周病治療.....
小香 - 2008-11-28
黃經理牙醫診所 - Yahoo!奇摩生活+
小香 - 2008-11-28
拔牙記。

 

 

[ 本日瀏灠人數 ] 83
[ 累積瀏灠人數 ] 328126
[ 本日瀏灠頁數 ] 84
[ 累積瀏灠頁數 ] 293011
本商品瀏覽人數:11731
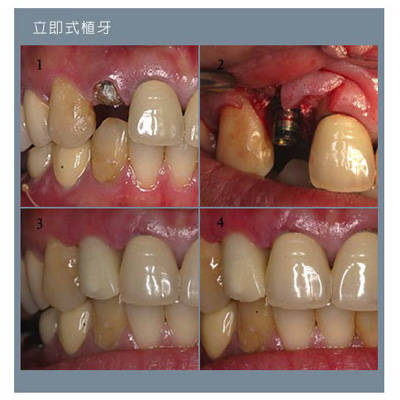
立即式人工植牙2
 
‧類別:
2008-10-09
‧地點:台中市
照片一:患者因為嚴重蛀牙,導致假牙脫落,影響外觀 照片二:拔除殘根後,立即植入人工植牙 照片三:並於手術當時,立即製作臨時假牙,恢復美觀 照片四:美觀且自然的臨時假牙,讓您不需要經歷人工植牙的等待期,立即擁有美麗的笑容
■ 何謂人工植牙 ? 人工植牙的人工牙根是由鈦金屬所製成,鈦金屬與人體的相容性極佳,將人工牙根植入缺牙區域的骨頭後,等待人工牙根與骨頭合而為一,然後將假牙接在人工牙根上,就像自己的牙齒一般自然。 ■ 人工植牙有什麼好處? 傳統的治療中,常會因為缺了一顆牙,而必需磨掉鄰接的兩顆牙齒做為支柱,然後做牙橋重建缺牙區域,就如同我們常聽到的<拔一顆,做三顆>。但是有了人工植牙後,我們只需要在缺牙的地方做人工植牙,不需要傷害其他的牙齒。 人工植牙與齒槽骨可以很緊密的接合,就如同我們原本的牙齒一般,咀嚼力強又穩固,並且不用擔心蛀牙的問題。 ■ 人工植牙跟傳統牙橋的差別是什麼? 傳統牙橋需要磨掉兩旁完好的牙齒,牙齒磨掉之後就無法復元,十分可惜,並且套了假牙之後,細菌常會從假牙與自然牙的縫隙中侵入,造成蛀牙,而使得牙橋必需 5-10 年就要更換一次。而缺牙的地方也會因為沒有牙齒的支撐,骨頭隨著時間久了而萎縮。 現在有了人工植牙,可以直接在缺牙區域種下人工植牙,完全不會影響兩旁的牙齒,並且重建與原來牙齒一樣甚至更好的功能與美觀 。 ■ 人工植牙會痛嗎 ? 人工植牙只是一個小手術,在門診進行並且只需局部麻醉,一般而言,一顆植牙的時間只需半小時,術後的疼痛就如同簡單拔牙一般,只要依照醫師指示並且按時服藥,不會有太大的不舒服。 ■ 人工植牙的成功率為何? 人工植牙己有數十年的歷史,經過研究與統計,成功率約有 95% ,十分安全可靠,在歐美國家己經是重建缺牙的主流,在台灣也是十分受到重視的治療項目。 ■ 人工植牙可以使用多久 ? 使用人工植牙雖然不會再有蛀牙的問題,但是仍要配合醫師指示,定期回診保健,並且本身的口腔衛生也需注意,人工植牙在您細心的照護下,陪伴您一輩子的機會是很大的 。 ■ 全口無牙也可以做人工植牙嗎 ? 有多顆缺牙或全口無牙的患者,傳統的作法只能配戴活動假牙 , 但是活動假牙極不舒適,患者常常有活動假牙脫落移位,或是無法咀嚼食物的困擾,現在有了人工植牙,您可以選擇植入多根人工植牙,做全口固定式假牙的復形,或是植入 2-4 根人工植牙,來支撐您的活動假牙,都可以大幅的提升咬合力, 並且解決假牙不舒適及容易脫落的窘況。
台中市南屯區大墩路256號 / 電話:04-24711567
 台中環境消毒  台南鑽石推薦  民宿推薦  室內設計
 防霾紗窗  台中洗水管  油飯  台南植牙
 室內設計  台南贈品批發  台南花店  台中接睫毛教學
 電梯維修保養  台中種睫毛教學  acrylic sheet  台中住宿
 導熱絕緣帽套  新(高雄)汽車商業同業公會  長榮駕訓班  台中種睫毛
設為首頁    |    加入最愛    |    連絡我們    |    會員中心    |    廣告刊登    |    招商    |    秀生活商家資訊網   |    網頁設計
歐普達資訊有限公司 版權所有
本網站所有內容及圖片均不得以任何型式, 予以重製或傳送
© Copyright 2008 OHprada Online Corporation InfoSys All Rights Reserved.
商品大圖 商品附圖